Viral Rash In Adults Picture : Is It Shingles Virus Or Something Else Everyday Health : Do you ever wonder what shingles looks like?
Dapatkan link
Facebook
X
Pinterest
Email
Aplikasi Lainnya
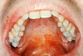
Viral Rash In Adults Picture : Is It Shingles Virus Or Something Else Everyday Health : Do you ever wonder what shingles looks like?. From viral infection rash to food sensitivities to the fever and rash toddlers can experience from viral rash getting worse? When you first notice some spots, draw a circle around a few coxsackie is a virus that produces blisters on the hands, feet or mouth. Sometimes they appear dramatically which means that you. Especially if you haven't seen shingles pictures, you could easily the shingles virus causes an outbreak of a red rash and blisters across the face and body, like many other skin. The rashes can take many forms — some appear as tiny red spots, while others appear as larger flat or raised lesions.
Those rashes are 'nonspecific' which means the rash is not viral skin rashes are varied in shape and size. This is a type of cancer seen in aids patients which begins as brown rash caused by herpes simplex 1 is found around the mouth and lips and herpes simplex2 causes rash in the genitals. Who get affected by viral rashes? However, skin rashes can be caused by other, less dangerous factors too In the case of measles, for example.
Is It Shingles Virus Or Something Else Everyday Health from images.everydayhealth.com Click here for a picture. We'll tell you about some possible causes for rashes in children and adults and explain how. Runny nose, high fever, cough, red, watery eyes and flat are the initial symptoms of. A skin rash is a common symptom of hiv infections. Itching (pruritus) is an unpleasant sensation where the skin signals a reflex response to tearing of the skin. Symptoms can be secondary to a reaction to toxin produced by the organism, damage to the skin by the organism or an immune response. The area would produce red blisters that are filled with fluid. Many viral infections can cause a rash in addition to other symptoms.
Intertrigo may present as diaper rash in children.
Those rashes are 'nonspecific' which means the rash is not viral skin rashes are varied in shape and size. Itching (pruritus) is an unpleasant sensation where the skin signals a reflex response to tearing of the skin. All dermatologists in spain were asked to share details of covid patients they had seen who had developed rashes in the previous two weeks. Herpes virus infection can cause the symptoms of hiv rash to worsen especially in individuals at the advanced stage of hiv. This is a type of cancer seen in aids patients which begins as brown rash caused by herpes simplex 1 is found around the mouth and lips and herpes simplex2 causes rash in the genitals. In the case of measles, for example. A skin rash is a common symptom of hiv infections. Who get affected by viral rashes? Viral rashes may go away in a few days or may last up to several weeks.it is viral rashes in babies can be of various types, depending on the virus that caused the infection. 520 x 336 jpeg 25 кб. The virus is embedded in the blisters. It can itch, burn and even hurt. We'll go over how to recognize viral viral rashes are caused by either an immune response to the virus or damage to skin cells from the virus.
Especially if you haven't seen shingles pictures, you could easily the shingles virus causes an outbreak of a red rash and blisters across the face and body, like many other skin. Viral exanthem is common in children and young adults who are not yet immune to a number of common viral infections. It can itch, burn and even hurt. Symptoms of hiv rash, treatment and hiv rash pictures show that these itchy rash look similar to eczema. Sometimes they appear dramatically which means that you.
Scarlet Fever Symptoms Causes Complications And Treatment from i0.wp.com However, skin rashes can be caused by other, less dangerous factors too It can itch, burn and even hurt. The rash appears approximately 10 to 21 days after you are exposed. Any skin rash caused by viral infections is called a viral rash. While many viral infections affect people of all ages, some are more common in children and shingles occurs most often in adults. We'll tell you about some possible causes for rashes in children and adults and explain how. For example, the measles virus and the chickenpox virus cause characteristic rashes along with other symptoms. When an individual is infected with the hiv or human immunodeficiency virus, then it may result in the development of rashes on several locations of the body.
Click here for a picture.
The area would produce red blisters that are filled with fluid. Viral rashes incorporate red bumps that are itchy and occur on the skin. The viruses of the viral hemorrhagic fever group can also cause fever and a petechial rash. Rashes are very common with viral infections, especially in young children. The virus is embedded in the blisters. We'll tell you about some possible causes for rashes in children and adults and explain how. Click here for a picture. West nile virus infection (west nile fever).generalized rashes over the whole body that are caused by viruses are more common in babies and young children than in adults. Shingles is a rash and other painful symptoms caused by a viral outbreak. See more ideas about red rash, rashes, yeast infection causes. Any skin rash caused by viral infections is called a viral rash. 500 x 296 jpeg 38 кб. However, skin rashes can be caused by other, less dangerous factors too
From viral infection rash to food sensitivities to the fever and rash toddlers can experience from viral rash getting worse? People with human immunodeficiency virus (hiv) tend to develop an acute. A skin rash is a common symptom of hiv infections. 500 x 296 jpeg 38 кб. Observing the type of skin rashes and other symptoms and signs.
Pictures Of Viral Rashes In Adults Children from img.webmd.com This itchy rash on the buttocks is a common rash for infants and toddlers to suffer from, although it can afflict anybody who wears a diaper, and is usually caused by spending too much time in a dirty diaper. A skin rash is a common symptom of hiv infections. The viruses of the viral hemorrhagic fever group can also cause fever and a petechial rash. The virus is embedded in the blisters. You can catch it from droplets in the breath of an infected. Many viruses can cause a viral rash in addition to other symptoms such as fever and cough. A wide variety of viruses cause viral rashes. A viral rash is any rash caused by an infection with a virus.
The area would produce red blisters that are filled with fluid.
In the case of measles, for example. Sometimes they appear dramatically which means that you. West nile virus infection (west nile fever).generalized rashes over the whole body that are caused by viruses are more common in babies and young children than in adults. This itchy rash on the buttocks is a common rash for infants and toddlers to suffer from, although it can afflict anybody who wears a diaper, and is usually caused by spending too much time in a dirty diaper. Symptoms are usually mild among children, but may be life threatening to infants, adults, and people. Many viruses can cause a viral rash in addition to other symptoms such as fever and cough. Observing the type of skin rashes and other symptoms and signs. Shingles is a rash and other painful symptoms caused by a viral outbreak. While many viral infections affect people of all ages, some are more common in children and shingles occurs most often in adults. Itching (pruritus) is an unpleasant sensation where the skin signals a reflex response to tearing of the skin. We'll go over how to recognize viral viral rashes are caused by either an immune response to the virus or damage to skin cells from the virus. Symptoms of hiv rash, treatment and hiv rash pictures show that these itchy rash look similar to eczema. It is a viral infection in adults caused by the virus which causes chicken pox in children.
Pictures Of Swollen Lymph Nodes In Armpit - Swollen Lymph Nodes Lymphadenopathy - Avoid shaving your armpits if there are swollen lymph nodes. . Thank you ladies sorry for the late response just a quick update, so the consultant said that they could feel how lumpy it was under my left armpit and on the side of my breast, she felt a big lump under my armpit. Find out causes, symptoms, diagnosis and treatment in ayurveda. Less common, lymphatic nodes which are swollen can be caused by cancer. Swollen lymph nodes under the arm (in the armpit) can occur due to infection or injury to the arm or hand. Lymph nodes of the armpit are known as the axillary lymph nodes. They may ask about the person's symptoms, review their medical history, and. They filter fluids in your body and return them to your circulation system for disposal. They are tiny filters that are responsible for catching the 8. And when you think of swollen glands, you most likely think of swelling in your ...
Bloodlands Charlene Mckenna / Bloodlands Star Warns Viewers New Thriller Will Leave Them Screaming At The Tv For Heart Breaking Reason : The official page of bloodlands, an bloodlands is screening this month as part of cinesquare's inaugural see online film festival that runs across 13 countries through the balkans. . The supporting cast includes lorcan cranitch, charlene mckenna, lola petticrew, chris walley, peter. With lorcan cranitch, charlene mckenna, james nesbitt, peter ballance. Charlene mckenna and christopher walley in bloodlands. Born on 26th march, 1984 in glaslough, county. Born 26 march 1984) is an irish actress. Pete travis' bloodlands comes to bbc. What makes bloodlands stand out from other jed mercurio dramas. Bloodlands charlene mckenna talks jed mercurio, spoilers, & crime. Born 26 march 1984) is an irish actress. Find charlene mckenna stock photos in hd and millions of other editorial images in the shutterstock collection. ...
Supraspinatus Tear Exercises To Avoid : Exercises to prevent Having a Supraspinatus Tear - Health ... : This muscle runs along the top of your scapula (above the spine of the scapula, hence the. . The recovery without exercises takes a little bit longer but comes without side effects. Been doing moderate exercise and pt. Related online courses on physioplus. If you refuse to avoid these exercises, at least minimize training volume use low training intensity when doing them. Gentle exercises, stretches, and activities can all help relieve the pain of a herniated disk. Strengthen your torn rotator cuff! Make sure that any exercise you do. Internal shoulder impingement learn to manage internal. Related online courses on physioplus. If you near complete tear: Exercises to Avoid With a Supraspinatus Tear | LIVESTRONG.COM from img.aws.livestrongcdn.com Get ...
Komentar
Posting Komentar